ハムスターの呼吸が荒くなる原因としては、
たとえ体が小さくても、肺炎、肺腫瘍、胸水の貯留、肺出血、心臓疾患による肺水腫など実は犬や猫とそんなに違いはありません。
高齢のハムスター(特にゴールデンハムスター)では、心臓疾患がよく発生します。本当に多いです。。。。
症状としては、まずは呼吸が荒い(速い)というのが一番よく見られる症状です。ハムスターでは、呼吸が多少速くなっていたとしても相当進行するまでそこそこ動いていることも多いです。そのため気をつけていないと判断が遅れてしまうことがあります。
そのため、呼吸状態を比較できるよう、元気な時の様子をスマホで撮影しておくことをお勧めしています。
ゴールデンハムスターでは、心臓の筋肉が変性してしまう心筋症が、遺伝要因により発生することがわかっています。心臓の壁がペラペラに薄くなり、心臓の収縮が弱くなる拡張型心筋症、逆に心筋が厚く肥厚するタイプの肥大型心筋症がみられます。症状としては、肺の中に水がたまる(肺水腫)や肺の外側に水(胸水)が溜まり肺が膨らまなくなったりすることでおこる呼吸困難の症状が一般的です。他の症状として身体のむくみが確認される場合もあります。
このような場合は、例えば高齢のハムスターで多いネフローゼなどの腎疾患、肝不全などの他の基礎疾患の関連も考えられています。
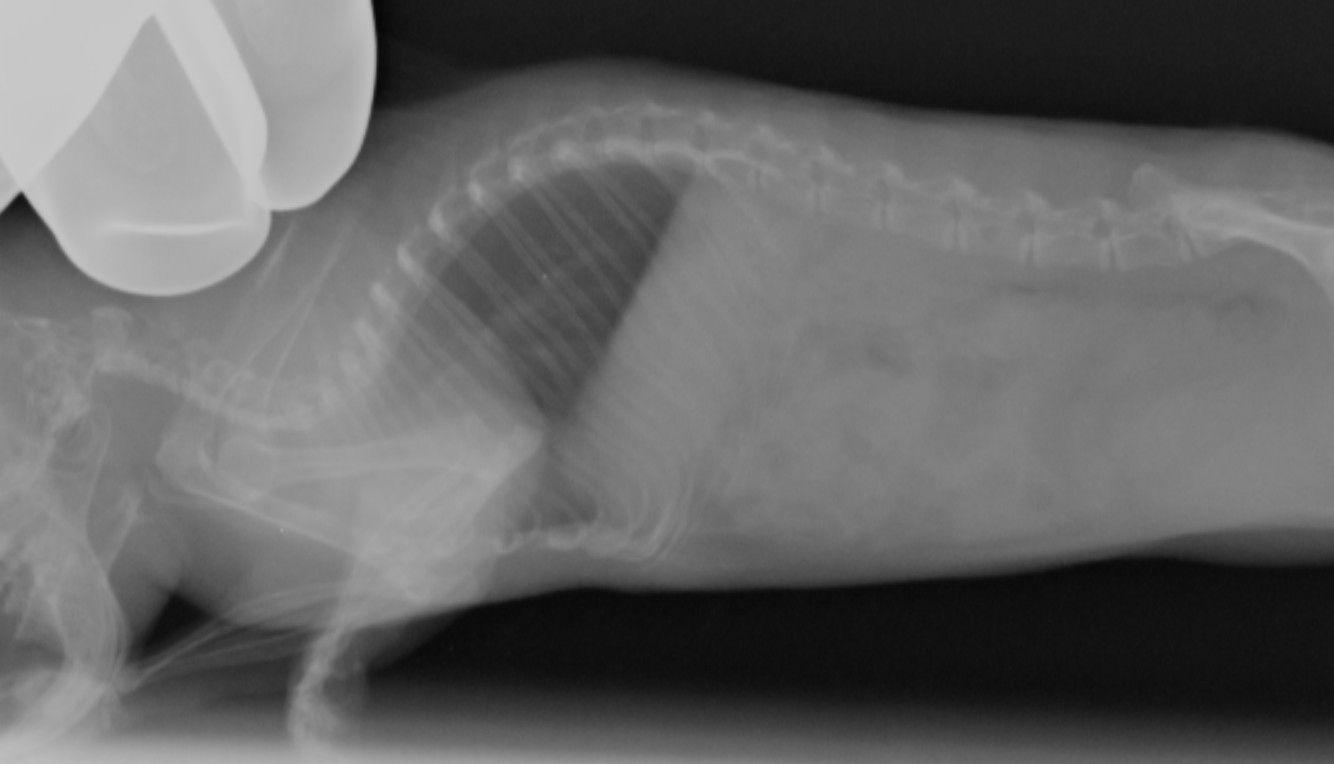
画像は心筋症ハムスターのレントゲン画像です。

心筋症の症例です。心臓が拡大しています

あまり綺麗なポジショニングではないですが、正常例です

同じく心筋症

正常例です
正常画像と比べ明らかに心臓が拡大しているのがわかります。また肺の領域も白く見え肺水腫もしくは胸水の存在が疑われます。
犬や猫では心臓病の診断に欠かせない超音波検査ですが、当院ではハムスターの心臓の評価も同様に超音波検査で行なっています。
画像は拡張型心筋症の1歳8ヶ月ゴールデンハムスターの心エコー画像です。

拡張型心筋症のエコー画像

正常な若いハムスターのエコー画像
比較のため同じく正常のゴールデンハムスターのエコー画像と見比べてもらうと一目瞭然で、心臓の内腔が拡張して見えるのがわかるかと思います。
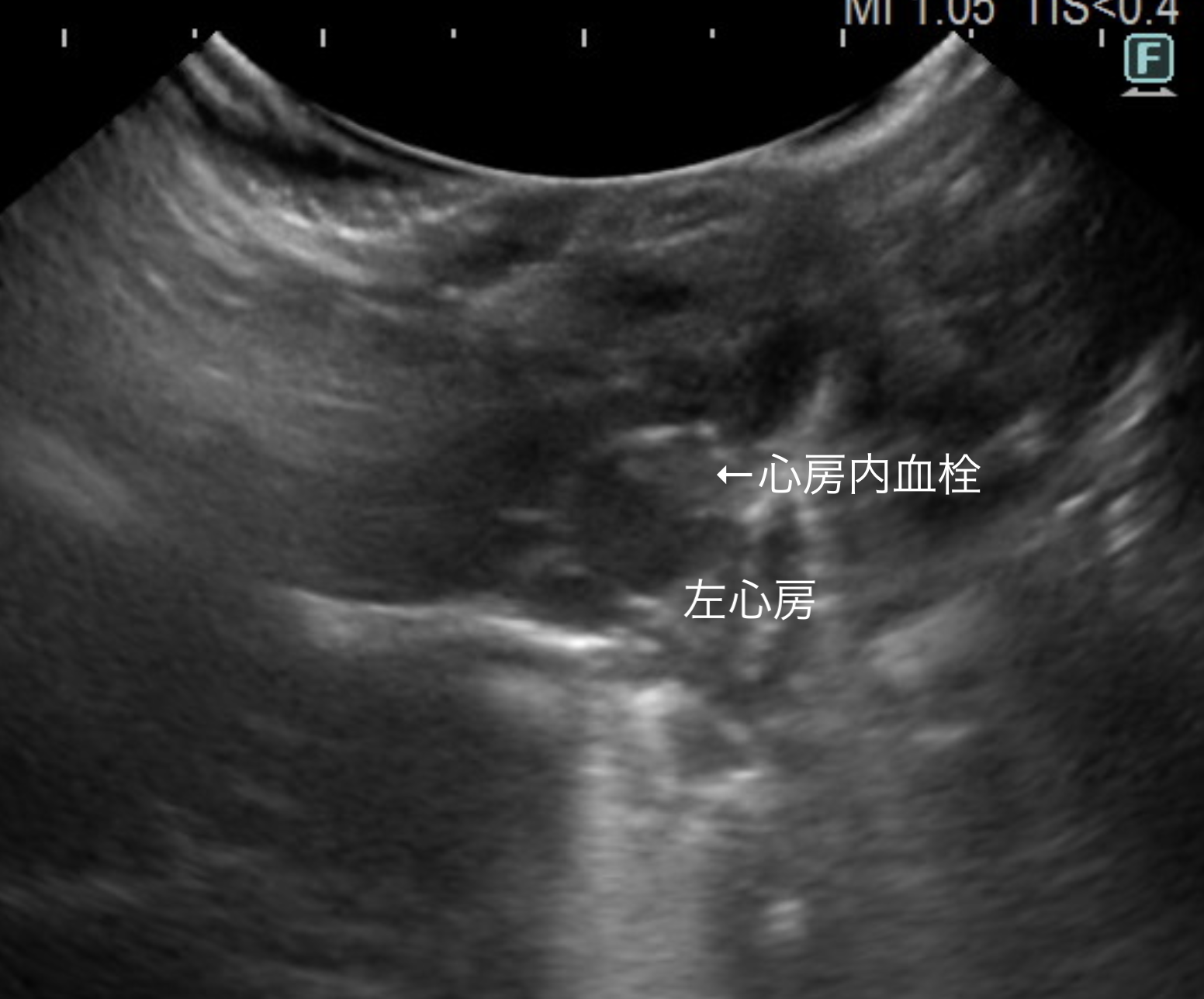
左心房内に血栓(画像)が確認されることも珍しくありません。

治療としては、利尿剤や強心剤、血管拡張薬など症例により組み合わせて行なっていきます。治療を行ったほうが、生活の質が改善したり、生きられる期間が延長するのですが、ハムスターはもともと寿命の短い動物です。
人の1年はハムスターに置き換えると長めに見積もっても15日程度です。
重度の心不全があり15日(人間での1年)生きてくれたとしても、我々の感覚からすると、わずか15日。症例によっては3週間、4週間と頑張ってくれることもありますが、それでもとても短く感じることと思います。
それでも、何も治療しなければもしかすると数日以内に亡くなってしまうところ、治療を行うことでたとえ短い期間だったとしても飼い主さんとの大切な時間を作ることができることは全く無意味なことではないと思っています。

